BRENERCLINIC

All-on-4 Implant Treatment Steps

All-on-4 Implant FAQ

ALL-ON-4 DENTAL IMPLANTS

Dental Hygiene

Overview

All-on-4 Implant Treatment Steps

Using the very latest in digital technology, Brener Clinic will provide you with the best possible outcome for your All-on-4 implant treatment and new permanent teeth.

 

Prior to your All-on-4 procedure, Brener Clinic will provide you with pre- and post-operative instructions to follow, and will answer any questions or concerns you

may have.

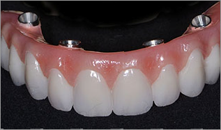
Permanent All-on-4 replacement teeth

© Brener Clinic

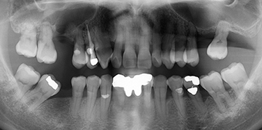
Broken, bad and crooked teeth

Step 1 – Diagnosis by Brener Clinic

Treatment Planning, including 3d Cone Beam Scans

Permanent All-on-4 replacement teeth

After All-on-4 dental implants by Brener Clinic

© Brener Clinic

Your All-on-4 treatment begins with a  consultation at Brener Clinic. At this time Brener Clinic will examine your mouth and teeth to determine your suitability for the All-on-4 implant treatment. We take 3D Cone Beam CT Scans to assist with treatment planning. Using Digital Smile Design (DSD) technology, we collect other records, such as facial photographs and videos, as well as digital impressions of your upper and lower jaws. A thorough medical history is taken so we can communicate with your doctor and specialist medical team if necessary. This information allows us to clinically analyse your treatment options, digitally design your smile and plan your All-on-4 surgery.

Step 2 – Implants are placed for All-on-4, and temporary teeth are provided to "test-drive"

Under sedation and local anaesthetic, Brener Clinic places your implants. You will at this time or the following day receive a immediate temporary bridge to restore your full smile and chewing ability. The implants will integrate with your jawbone over the next 5 months.

 

Your temporary bridge allows you to "test-drive" your smile, allowing you to feel comfortable with its looks and function. The temporary bridge is derived using Digital Smile Design (DSD) data and looks the same as your final restorations. This temporary bridge can later be used as a “spare” in case your final All-on-4 needs servicing in the future, so you never have to go without teeth.

 

Brener Clinic schedules you for your permanent All-on-4 teeth placement.

Step 3 – Your permanent All-on-4 teeth are constructed and fitted

Your permanent All-on-4 teeth are constructed and fitted after 5 months from either a bespoke CAD CAM manufactured hybrid type bridge or a ceramic zirconia bridge, depending on your choice of materials.

 

There is a 5 year guarantee on the final bridge.

See how Brener Clinic uses Digital Smile Design (DSD) to enhance dental treatment results for our patients by streamlining our process and technology before carrying out actual treatment.

Implant Info Evening

 
Attend an informal talk
on Dental Implants and All-on-4
at Brener Clinic conducted by
A/Prof Dan Brener.

Sign up

Stay Connected

 
Receive emails about special
dental news and events. Your
information will be kept confidential
and will not be shared with others.

Subscribe

Appointment

 
Make an appointment
for a Brener Clinic
dental service.
Call (02) 9922 7977

Contact

Dental Implants


Missing or damaged teeth?
Call Brener Clinic about a
dental implant service.
Call (02) 9922 7977

Contact

BRENERCLINIC

BRENER IMPLANT INSTITUTE (Bii)

FINANCING

EASY-TO-EAT & MAKE RECIPES

AFFILIATES

 © BRENERCLINIC 2018. ALL RIGHTS RESERVED

      Site by Tesia Rynkiewicz